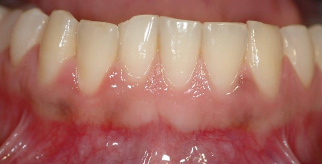
Ученые из Сеченовского Университета совместно с коллегами из других научно-исследовательских центров разработали новый подход к восстановлению десны, объединив тканеинженерные технологии и генную терапию. Они использовали коллагеновую матрицу и плазмиду pCMV-VEGF165, стимулирующую рост сосудов. Такая комбинация обеспечила в экспериментах на животных выраженное утолщение слизистой и активное формирование сосудистой сети. Новый подход к увеличению объема мягких тканей ученые планируют использовать при воссоздании тканей пародонтального комплекса в рамках мегапроекта «Орган-на-заказ».

Результаты опубликованы в журнале International Journal of Molecular Sciences. Дефицит мягких тканей десны — распространенная проблема в стоматологии, в том числе после ортодонтического лечения. Сегодня для его коррекции используют трансплантаты с неба, но такие операции сопряжены с высокой травматичностью, болевым синдромом и риском осложнений. В качестве альтернативы применяются ксеногенные (полученные из тканей млекопитающих) матрицы, однако их эффективность ограничена из-за слабого прорастания сосудов в новые ткани.

Авторы статьи предложили новый подход, включающий имплантацию матрицы на основе свиной кожи и инъекции плазмиды pCMV-VEGF165 — препарата, содержащего ген сосудистого эндотелиального фактора роста VEGF165. После хирургического вмешательства на тканях десны одной группе кроликов имплантировали коллагеновую матрицу, другая получала инъекции pCMV-VEGF165, а в третьей ученые использовали комбинацию обоих методов.

По сравнению с контрольной группой, где животные в

Российские ученые предложили новый способ восстановления десен с помощью генной терапии

Читать дальше...
peredock Инкубатор 17.06.2025 - 19:42 Комментарии (18) Ссылка
Или приключения пушистых котят

willemalexander Инкубатор 17.06.2025 - 19:42 Комментарии (4) Ссылка
.

peredock Инкубатор 17.06.2025 - 19:40 Комментарии (76) Ссылка
Ситуация такая. С недавнего времени наши ГИБДД активно начали дрюкать велики и эл.самокаты. Все высыпали на дороги.
Дороги в нашей деревне 90% по одной полосе в сторону со сплошняком и редкими участками для обгонов. Великов полно - станица ведь.


Если не щемить велосипедиста, то по любому заедешь на встречку.

Вопросы.
1) Нарушать на пол шишечки или тошнить?
2) Такие видосы слать в ГИБДД или нет? (их прям много, по 2 - 3 в день).
ELEA Инкубатор 17.06.2025 - 19:28 Комментарии (57) Ссылка


Читать дальше...
Assoroff Инкубатор 17.06.2025 - 19:27 Комментарии (8) Ссылка
Минус сто кг. Сама скинула или откачали?
Сколько веса можно скинуть чтоб не пришлось ушивать и кожа сама втянулась?
Если сбрасывать вес поэтапно модно ли избежать операции по ушиванию кожи?
Если после того как кожу ушили вес опять начнёт набираться, чем это чревато?

DiMNorilsk Инкубатор 17.06.2025 - 19:22 Комментарии (28) Ссылка
Введение налогообложения пенсий в России в ближайшее время маловероятно, заявил депутат Мособлдумы, член центрального совета партии «Справедливая Россия — За правду» Анатолий Никитин.
«Налогообложение пенсий в России в обозримом будущем маловероятно. Госфинансы позволяют сохранить действующую модель. Официальных шагов к ее изменению нет. Налогообложения пенсии в России сейчас нет — это прописано в Налоговом кодексе. Чтобы ввести налог, потребуется изменить закон — такое решение принимается на федеральном уровне. Иногда обсуждение налогообложения пенсий появляется в экспертной среде. В 2025 году от Минфина, Госдумы и правительства официальные сообщения по этому вопросу отсутствуют. В планах бюджета таких предложений нет», — отметил «Газете.Ru» Никитин.

Депутат привел статистику Министерства финансов: в 2024 году поступления в Социальный фонд России достигли 13,5 трлн рублей, из которых почти 6 трлн рублей составили страховые взносы, остальную часть — трансферты из федерального бюджета. Расходы фонда за тот же период составили 13,4 трлн рублей, что, по оценке Никитина, свидетельствует о сбалансированной работе системы.

На сегодняшний день, отметил депутат, в стране проживают около 42,5 млн пенсионеров, а средний размер страховой пенсии по старости составляет 23 449 рублей, согласно данным Социального фонда России на начало 2025 года. Никитин подчеркнул, что введение даже 10-процентного налога привело бы к сокращению выплат почти на 2,35 тыс. рублей, что является значимой суммой для большинства людей старшего поколения.

По мнению политика, оптимальный уровень пенсии должен составлять 40% от средней заработной платы по региону и быть не менее 35 тыс.

Читать дальше...
bblack Инкубатор 17.06.2025 - 19:17 Комментарии (58) Ссылка
Жара стоит, заехал на дачу чтобы всё полить, а там уже ягода покраснела... А в выходные только зелёные зародыши были. Собрал с двух грядок (0.75 на 5 метров) около двух литров, чуть больше. Привёз домой, помыл, раздолбал слегка с сахаром, залил молоком и съел, не всю, конечно. Очень вкусно, не то что привозят из всяких тёплых стран - на вкус трава их ягоды зелёная. Хорошо когда в Сибири солнышко светит.

А не очень спелые - в варенье уйдут, иначе до выходных пропадут.

Клубника поспела...
tzerkumpel Инкубатор 17.06.2025 - 19:11 Комментарии (52) Ссылка
У кого ещё так же? Только соберёшься мороженкой полакомиться - как они тут как здесь)
Много не даю, вредно им... Но полакомиться чуток не могу отказать😻

Коты и мороженое
Jus Инкубатор 17.06.2025 - 19:11 Комментарии (12) Ссылка
Аж у самого сжались.
1 видео

xxDimiDxx Инкубатор 17.06.2025 - 19:09 Комментарии (21) Ссылка
Текст новости

Den1sss Инкубатор 17.06.2025 - 19:08 Комментарии (5) Ссылка
Канал UTV опубликовал видео с домофона «Уфанет» с вопиющим инцидентом. Мужчина куда-то ведет двоих детей. Один ребенок плачет, чем выводит из себя взрослого. Не сумев совладать с гневом, мужчина с силой швыряет девочку на землю.

Комментарии от уполномоченных официальных ведомств пока не поступали.

@ufa_smi

Личность мужчины, швырнувшего девочку об асфальт, установлена

Он оказался родным отцом ребенка, ему 36 лет.

По данным МВД РФ по Республике Башкортостан, на него составлен административный протокол за нанесение побоев или совершение иных насильственных действий, причинивших физическую боль, но не повлекших последствий. Теперь судья решит, отделается горе-отец штрафом от 5 до 30 тысяч рублей, арестом на 15 суток или до 120 часов бесплатно поработает на государство.

Almazoff02RU Инкубатор 17.06.2025 - 19:06 Комментарии (21) Ссылка
Все же лучше, чем лось.



Читать дальше...
Fixz Инкубатор 17.06.2025 - 19:02 Комментарии (8) Ссылка
Теперь мы полностью и абсолютно контролируем небо над Ираном. У Ирана были хорошие системы слежения за небом и другое оборонительное оборудование, и его было много, но оно несравнимо с американскими «штуками», придуманными и изготовленными в США. Никто не делает это лучше, чем старая добрая США.

Трамп заявил, что теперь у США полный и бесконечный контроль над небом над Ираном
pticeed Инкубатор 17.06.2025 - 19:00 Комментарии (112) Ссылка
А копчёный молодец, не пожелал знакомиться.



Читать дальше...
Fixz Инкубатор 17.06.2025 - 18:53 Комментарии (6) Ссылка
Это тебе не маленькие пушистые котики... 😆

Jus Инкубатор 17.06.2025 - 18:45 Комментарии (16) Ссылка
В г. Слободском Кировской области установили памятник Григорию Булатову.
Скульптура расположена рядом с администрацией города, напротив мемориала участникам войн в Афганистане и локальных конфликтах. Торжественное открытие памятника состоится 22 июня.
Григорий Петрович Булатов (родился 16 ноября 1925, д. Черкасово, Берёзовский район, Кунгурский округ, Уральская область, РСФСР, проживал с 19 апреля 1973 в г. Слободской, Кировская область).
В возрасте 16 лет после смерти отца пытался попасть добровольцем на фронт, однако получил отказ.
В июне 1943 года Булатова призвали в армию. На фронте с апреля 1944 года. Первоначально стрелок, затем переведён в разведвзвод 674-го стрелкового полка 150-й стрелковой дивизии 3-й Ударной армии 1-го Белорусского фронта под командованием лейтенанта Семёна Сорокина.
Участвовал во взятии рейхстага 30 апреля 1945 года. Совместно с лейтенантом Рахимжаном Кошкарбаевым одним из первых водрузил красное знамя на фасаде здания рейхстага.
Демобилизовался в 1949 году. После возвращения в Слободской работал на сплаве древесины. Долгое время скрывал свой подвиг, спустя 20 лет безуспешно пытался его доказать, за что среди знакомых получил прозвище «Гришка-рейхстаг».
Умер в возрасте 47 лет.

Знаменосец Победы. Появился памятник Григорию Булатову.
Ebalpikabu Инкубатор 17.06.2025 - 18:44 Комментарии (10) Ссылка
Канада.




Читать дальше...
Fixz Инкубатор 17.06.2025 - 18:40 Комментарии (11) Ссылка
Во Вьетнаме прошел концерт, который по воле природы сопровождался разноцветными молниями. Природно явление, которое совпало с концертом, вызвало восхищение всех присутствующих. Правда было это весьма опасно.
Пользователи сети тоже выразили свое восхищение, правда многие отметили, что попадание молнии в аппаратуру могло вызвать печальные последствия.

Никто не пострадал.

gogarom Инкубатор 17.06.2025 - 18:27 Комментарии (7) Ссылка
Производитель уверяет — всё в лучших традициях ЗОЖ — витамины, ферменты и куча пользы. Лично состав не видел, но было бы интересно взглянуть!

Но есть один побочный эффект —да-да, слабительный...

В «Пятёрочке» обнаружили сок… из квашеной капусты!
Almazoff02RU Инкубатор 17.06.2025 - 18:21 Комментарии (66) Ссылка
Сделан на небольшой высоте, чтобы медведь не смог достать

OBrian Инкубатор 17.06.2025 - 18:13 Комментарии (51) Ссылка
Говорят, на этой планетке, есть три сущности которые нельзя сломать:
1. Nokia 3310.
2. Электоральная система выборов правильных президентов.
3. Советская мясорубка.
Будет 3 поста, не ломайте, пожалуйста.
Tungnus Инкубатор 17.06.2025 - 18:10 Комментарии (42) Ссылка
Роскосмос ускорил разработку ракеты «Ангара-А5В» до 2030 года Государственная корпорация Роскосмос планирует завершить разработку тяжелой ракеты-носителя «Ангара-А5В» с кислородно-водородной третьей ступенью к 2030 году, что на четыре года раньше первоначального плана 2034 года.

Об этом заявил глава Роскосмоса Дмитрий Баканов в Совете Федерации. Новая ракета сможет выводить на геостационарную орбиту до 4 тонн полезной нагрузки вместо 2,5 тонн, что значительно увеличит её возможности.

Ссылка на ТАСС

Роскосмос ускорил разработку ракеты «Ангара-А5В» до 2030 года

Читать дальше...
persey4ik Инкубатор 17.06.2025 - 18:04 Комментарии (75) Ссылка
....

Вопрос.
Jdund Инкубатор 17.06.2025 - 17:58 Комментарии (17) Ссылка
Кило 2,5 наверное!

OBrian Инкубатор 17.06.2025 - 17:58 Комментарии (20) Ссылка
loading..


Активные темы



Июнь 2025

Пн Вт Ср Чт Пт Сб Вс

 

 

 

 

 

 

1
2 3 4 5 6 7 8
9 10 11 12 13 14 15
16 17 18 19 20 21 22
23 24 25 26 27 28 29
30

 

 

 

 

 

 

« Май 2025Июл 2025 »

Друзья


Популярные темы





Объявления



Наверх