Данный экземпляр книги "Властелин Колец" продали за $6700

Ubix Инкубатор 1.06.2025 - 20:41 Комментарии (12) Ссылка
Прилетел узнать, есть ли клёв сегодня

OBrian Инкубатор 1.06.2025 - 20:16 Комментарии (10) Ссылка
Patamushta Инкубатор 1.06.2025 - 20:12 Комментарии (4) Ссылка
инструкция ниже



из тг

Читать дальше...
gelezo131 Инкубатор 1.06.2025 - 20:06 Комментарии (22) Ссылка
Без комментариев, коллеги...

Kent595616 Инкубатор 1.06.2025 - 20:03 Комментарии (16) Ссылка
Здравствуйте, хотелось бы спросить по одному вопросу. Можно ли поступить на вокальное отделение консерватории без музыкального образования в музыкальной школе или колледже. Есть ли такие примеры ? Есть ли среди вас или ваших знакомых,окончившие вокальный факультет консерватории(любой). Все говорят,что я хорошо пою. Голос вроде тенора или корттенора. Спасибо

Читать дальше...
Лашын Инкубатор 1.06.2025 - 19:48 Комментарии (58) Ссылка
320₽ А вот картошка конечно 🤦‍♂️

А кто говорил 800₽ кило?
Бороздодел Инкубатор 1.06.2025 - 19:46 Комментарии (30) Ссылка


Читать дальше...
Jus Инкубатор 1.06.2025 - 19:46 Комментарии (15) Ссылка


Читать дальше...
Jus Инкубатор 1.06.2025 - 19:44 Комментарии (20) Ссылка
😁😁😁

Bashibuzuck Инкубатор 1.06.2025 - 19:40 Комментарии (12) Ссылка
Ubix Инкубатор 1.06.2025 - 19:31 Комментарии (19) Ссылка
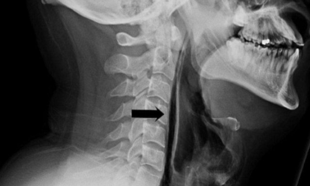
34-летний поступил в больницу после сильного чиха, который он пытался сдержать, рассказали в Суоярвской больницы

"С жалобами на острую боль при глотании и на изменения в голосе. Он попытался сдержать позыв чихнуть, зажав ноздри пальцами, но когда чихнул, то почувствовал толчки в шее и затем обнаружил, что шея опухла", — сообщили в больнице.

Пациенту сделали рентген, который указал на спонтанный разрыв пищевода. Он привел к чрезмерному скоплению воздуха в шее перед трахеей. Врачи предупредили, что идея зажимать рот и нос, чтобы не чихать, — опасна. Это может привести к скоплению лишнего воздуха в груди, разрыву барабанной перепонки и даже разрыву аневризмы головного мозга.

via

В Карелии мужчина разорвал глотку, пытаясь не чихнуть

Читать дальше...
Jus Инкубатор 1.06.2025 - 19:25 Комментарии (28) Ссылка
Одного из главарей "Исламского государства"* задержали на пакистано-афганской границе в результате операции разведслужб, передает турецкое государственное агентство Anadolu.

"В ходе совместной операции разведслужб Турции и Пакистана на границе Пакистана и Афганистана задержан Озгюр Алтун, один главарей ДАИШ* (арабский акроним ИГ* - ред.), разыскиваемый по "оранжевой категории", - говорится в сообщении агентства.

Anadolu отмечает, что в результате работы турецкой Национальной разведывательной организации (MİT) были сорваны планы действий ИГ* против Турции, расшифрована вербовка ДАИШ*, и изъяты цифровые материалы, принадлежащие организации, а также планы действий.

ИГИЛ — террористическая организация, запрещена в России.

Источник: https://ria.ru/20250601/afganistan-20202714...88jc6x725176322

СМИ: на пакистано-афганской границе задержали одного из главарей ИГИЛ.

Читать дальше...
ТеодорБанди Инкубатор 1.06.2025 - 19:20 Комментарии (17) Ссылка
Пока мы медленно движемся в сторону полной демилитаризации нашей планеты, я решил устроить тихий час вечером.

И снится мне сон, где я хожу в темноте по квартире, на улице темно, гроза, идет дождь (что собственно и происходит на улице). Во сне я понимаю что слишком темно и подхожу к окошку в зале. Вижу что кто-то ударил мою машину и уезжает. Я собираюсь выйти на улицу и пытаюсь включить свет - но выключатель не работает упорно ни в какую. Я осознаю что это опять тот же сон, кручусь чтоб проснутся и просыпаюсь.

Проснулся и меня осенило что во всех снах , где б я не находился я не могу включит свет. Он не включается вообще и если и включается - потом гаснет как только я выйду из комнаты. Есть у кого такое же?

И что вам снится цикличного и не понятного больше всего. У меня топ запоминающихся и частых:

- Не включается свет
- До 14 лет снилась черная кошка которая меня пугала все время. Пока я не задушил голыми руками во сне же
- Пару раз в год снятся иконы в которых обезображенные лица святых что то кричат мне
- Часто дерусь во сне, но не хватает сил ударить человека. Могу весь сон драться.

PS писал с просони, чукча не писатель.

Про сны. Не могу включить свет во сне

Читать дальше...
enotik1234 Инкубатор 1.06.2025 - 19:11 Комментарии (84) Ссылка
Запах «хлорки» тоже появляется по этой причине — это реакция между хлором и аммиаком из мочи.

В общественные бассейны больше не ходим

Сова82 Инкубатор 1.06.2025 - 19:11 Комментарии (40) Ссылка
Растут на подоконнике 2 острых перца.
Разные сорта. Один растёт нормально и даже 2-й раз пытается цвести (цветы опадают, и даже завязей нет).
Второй - даже намёка на цветение нет (типа мужик 🤭).
И раскустился слишком.
Отсюда вопрос к опытным перцоводам:
Как за ними правильно ухаживать, дабы цвели и плодились?
Зы: тырнет не отключили, но поиск даёт много неожиданных для меня результатов. 🫣

Домашние перцы. Вопросы.
skhromov Инкубатор 1.06.2025 - 18:59 Комментарии (45) Ссылка
Защита россиянина Воислава Тордена (Яна Петровского), приговоренного в Финляндии к пожизненному заключению за якобы военные преступления, 13 мая подала апелляцию на приговор суда, заявила РИА Новости адвокат россиянина Наталия Мальгина.

Воислав Торден — бывший командир диверсионно-штурмовой разведывательной группы «Русич». Его арестовали в Хельсинки в середине декабря 2023 года по делу о военных преступлениях, которые он якобы совершил в период 2014–2015 годов на территории Украины.

Окружной суд Хельсинки 14 марта признал Тордена виновным по ряду пунктов обвинения в якобы совершенных им "военных преступлениях в Донбассе в 2014 году" и приговорил его к пожизненному тюремному заключению. Торден отрицает вину.

"Мы подали апелляцию заблаговременно, еще 13 мая. В стостраничном тексте с избытком приведены факты, подтверждающие полную невиновность Тордена. Сторона обвинения также планировала подать апелляцию", - сказала адвокат.

Как уточнила Мальгина, далее суд назначит срок для ознакомления и ответа на апелляцию другой стороны. Даты рассмотрения дела по существу пока не известны, добавила адвокат.

Источники: https://ria.ru/20250530/torden-2019907539.h...8tghh2716398124,

https://www.gazeta.ru/social/news/2025/05/3...8441jy962660309

Защита Воислава Тордена подала апелляцию на приговор о пожизненном заключении.

Читать дальше...
ТеодорБанди Инкубатор 1.06.2025 - 18:52 Комментарии (25) Ссылка
«Это сигнал Москве»: Британия выделила деньги на снаряды и заявила о готовности к бою

Глава минобороны Британии Хили отправил сигнал Москве о готовности сражаться

Глава минобороны Великобритании Джон Хили, комментируя решение правительства страны выделить на строительства фабрик по производству оружия 1,5 млрд фунтов стерлингов, назвал это «сигналом Москве». Министр заявил, что Британия в будущем будет готова сражаться с Россией. При этом с 2023 года британские журналисты, военные и парламентарии говорят, что армия королевства находится в плачевном состоянии: техника устаревает, военные предприятия показывают низкий уровень поставок, а набор в армию с каждым годом только сокращается.

https://www.gazeta.ru/army/2025/06/01/21138200.shtml

Читать дальше...
БылЯПьяН Инкубатор 1.06.2025 - 18:47 Комментарии (41) Ссылка
Самый счастливый кот на даче

Босс
 
orintas630 Инкубатор 1.06.2025 - 18:45 Комментарии (11) Ссылка
Есть тут приближенные к ДЖКХ г.Москвы? Что опять втихаря задумали?

Шо,опять?

Читать дальше...
Mexas2 Инкубатор 1.06.2025 - 17:55 Комментарии (10) Ссылка


Читать дальше...
Штирлиц Инкубатор 1.06.2025 - 17:48 Комментарии (32) Ссылка
UPD-Попало на камеру, как легковушка запрыгнула на забор в Псебае сегодня днём.
Легковушка повисла на заборе в результате ДТП сегодня днём в Псебае



Читать дальше...
gogarom Инкубатор 1.06.2025 - 17:42 Комментарии (33) Ссылка
Patamushta Инкубатор 1.06.2025 - 17:23 Комментарии (3) Ссылка
Всем привет, продолжаю повышать свои навыки в покраске фигурок😊
Сегодня на ваш суд Кратос

Мое хобби 25)
 
Tank67 Инкубатор 1.06.2025 - 17:21 Комментарии (17) Ссылка
красивое



Гребневики́ (Ctenophora)— широко распространённый тип морских животных. Отличительная особенность гребневиков — «гребни» из ресничек, используемые при плавании. Гребневики — самые большие среди передвигающихся при помощи ресничек животных: их размеры колеблются от нескольких миллиметров до полутора метров.

из тг

Читать дальше...
gelezo131 Инкубатор 1.06.2025 - 17:04 Комментарии (13) Ссылка
loading..


Активные темы



Июнь 2025

Пн Вт Ср Чт Пт Сб Вс

 

 

 

 

 

 

1
2 3 4 5 6 7 8
9 10 11 12 13 14 15
16 17 18 19 20 21 22
23 24 25 26 27 28 29
30

 

 

 

 

 

 

« Май 2025Июл 2025 »

Друзья


Популярные темы





Объявления



Наверх